PD Dr. Elke Maurer
Amelie Grainger
Dr. Franziska Zwecker
Dr. Jannik Ashauer
Dr. Bela Braag
Axel Lust
Dr. Nicolas Gumpert
Privatpraxis
für Orthopädie, Sportmedizin, ärztliche Osteopathie, Akupunktur und manuelle Medizin
direkt am Kaiserplatz
Kaiserstraße 14/Eingang Kirchnerstraße 2
60311 Frankfurt am Main

Leiden Sie unter Schmerzen und Steifigkeit im Daumen?
Eine Daumensattelgelenksarthrose, auch Rhizarthrose genannt, könnte die Ursache sein. Diese Form der Arthrose betrifft das Gelenk an der Basis Ihres Daumens und kann alltägliche Aufgaben zur Herausforderung machen. Entdecken Sie die Symptome, Diagnosemöglichkeiten und innovative Trainingstherapien, um Beweglichkeit zurückzugewinnen und Schmerzen zu lindern.
Informieren Sie sich, um Ihre Lebensqualität zu verbessern.
Gerne beraten Sie unsere Frankfurter Handspezialisten in unserer Handsprechstunde, welche Behandlungen auf Basis unserer Erfahrungen, für Ihren Fall die "Besten" sind.

Dieser Artikel wurde zuletzt durch Dr. Franziska Zwecker zuletzt überarbeitet.
Sie ist eine ausgewiesene Handspezialistin.
Dr. Franziska Zwecker ist eine Fachärztin für Orthopädie und hat sich auf die nichtoperative (also konservative) Behandlung von Erkrankungen der Hand spezialisiert.
In diesem Bereich behandelt Dr. Zwecker seit vielen Jahren mit ihrer großen Erfahrung.
Gerne berät Sie Frau Dr. Zwecker, was man in Ihrem Fall am "Besten" tun kann.
Zwischen dem ersten Mittelhandknochen und dem sogenanntem großen Vieleckbein befindet sich das sogenannte Daumensattelgelenk, das den Daumen in seiner beweglichen Verankerung hält.
Unter einer Daumensattelgelenksarthrose versteht man eine knöcherne Abnutzung des Gelenkes mit entsprechenden, folgenden Beschwerden. Die Daumensattelgelenksarthrose wird auch als Rhizarthrose bezeichnet.

Anatomie vom Daumensattelgelenk
Sie sind unzufrieden mit dem Behandlungsfortschritt Ihrer Erkrankung am Daumen nicht zufrieden, möchten eine 2. Meinung oder es ist gar eine Chronifizierung entstanden, dann übernehmen die Frankfurter Spezialisten Ihren Fall gerne!
Unsere Handspezialisten haben sich auf die konservative Behandlung von Erkrankungen am Daumen spezialisiert und behandelt diese ohne OP erfolgreich.
Lumedis Privatpraxis
für Orthopädie, Sportmedizin, ärztliche Osteopathie, Akupunktur und manuelle Medizin
direkt am Kaiserplatz
Kaiserstraße 14/Eingang Kirchnerstraße 2
60311 Frankfurt am Main
Eine chronische Überlastung wie z.B. das regelmäßige Greifen schwerer Lasten oder aber das Halten eines Gegenstandes zwischen Zeigefinder und Daumen für lange Zeit, führt zu einer knöchernen Überlastung im Bereich des Daumensattelgelenks, was dann eine Abnutzung der Knochen zu Folge haben kann.

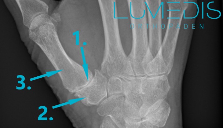
Röntgen einer Rhizarthrose (Arthrose im Daumen) der rechten Hand
Immer wieder falsch ausgeführte Greifbewegungen, unabhängig von der schwere der Last, führt ebenfalls zu einer ungleichmäßigen Abnutzung der Kanten der Knochen und zu einer folgenden Arthrose des Daumensattelgelenks
Das Daumensattelgelenk ist bandgesichert, d.h. mehrere Bänder umgeben das Gelenk, um es in seinem Halt und während der Bewegung zu stützen.
Im Laufe des Lebens kann es zu einer Erschlaffung eines oder mehrerer Bänder kommen, was dann die Knochen des Gelenks ungleichmäßig aufeinander reiben lässt. Dies hat eine Abnutzung zur Folge, die in einer Arthrose des Daumensattelgelenks gipfeln kann.
Im Alter kommt es zu einer Umstellung der hormonellen Situation des Körpers.
Man vermutet, dass ein hormonelles Ungleichgewicht zu einer Erschlaffung der Bänder, die das Daumensattelgelenk umgeben, führt. Daraus resultiert ein ungleichmäßigesReiben der Knochen des Gelenks und es kommt zu einer Arthrose.
In den meisten Fällen löst eine Daumensattelgelenksarthrose Schmerzen im Bereich zwischen Daumen und Zeigefingeraus.
Zusätzlich kommt es auch zu starken Schmerzen im Bereich des Daumenballens.
Zunächst bestehen die Schmerzen nur bei Belastung, später dann auch in Ruhe.
Neben der Arthrose im Daumensattelgelenk kann auch ein Kapselriss im Daumen zu Schmerzen führen.
Alle weiteren Ursachen für Schmerzen in diesem Bereich finden Sie in unsrem Artikel Schmerzen im Daumen.

Trotz Schmerzen kann es bei ausbleibender Schonung und Fortführung der Bewegung des Daumens zu einem Einstrom von entzündlich bedingter Flüssigkeit in den Bereich zwischen Daumen und Zeigefinger kommen, was dann zu einer Schwellung in diesem Bereich führt.
Schmerzen im Daumensattelgelenk führen zu Beeinträchtigungen der Bewegung. Aber auch eine mögliche Schwellung kann in dem sehr engen Gelenksbereich zu einer Beeinträchtigung in der Bewegung führen.
Vor allem morgens kann es bei einer vorangeschrittenen Daumensattelgelenksarthrose zu einer Gelenksteife kommen, die vor allem beim Aufstehen auftritt. Diese bessert sich, sobald der Daumen einige Minuten bewegt wurde.
Schmerzen im Bereich des Daumens sind eines der Leitsymptome einer Daumensattelgelenksarthrose. Sie treten zunächst bei der Daumenbewegung auf, können aber auch bei vorangeschrittener Arthrose in Ruhe auftreten und werden wie folgt beschrieben:
Da der Daumen der Hand bei fast allen Bewegungen zum Einsatz kommt, leiden die Patienten in der Regel unter Schmerzen des Daumens bei sämtlichen Bewegungen. Die Schmerzen im Bereich des Daumen sind in dem Bereich lokalisiert, in dem der Daumen in die Hand mündet. Er kann aber auch in Teile der Hand fortgeleitet werden, die sich zwischen Daumen und Zeigefinger befinden.
Da Schmerzen im Daumen auch andere Ursachen haben können, gibt es hier auf unserer Seite weitere Informationen zu diesem Thema.
In aller Regel werden Daumensattelgelenksarthrosen von Fachärzten für Orthopädie oder Unfallchirurgie diagnostiziert und behandelt. Auch speziell ausgebildeten Handchirurgen können die schmerzhafte Abnutzung des Gelenks diagnostizieren und behandeln.
Bei der Krankenbefragung wird der Patient zu folgeden Dingen befragt:
Zudem kommt der Untersuchung des Gelenks bei der Diagnosestellung eine tragende Rolle zu.
Der Untersucher betastet den Daumen und den Bereich zwischen Zeigefinger und Daumen und bewegt den Daumen. Hierbei achtet der Orthopäde darauf, ob Schmerzen ausgelöst werden oder ob es zu Widerständen kommt. Die genaueste Diagnostik einer Daumensattelgelenksarthrose stellt das Röntgenbild dar.
Im Röntgenbild lassen sich generell dichte Strukturen wie Knochen oder Verkalkungen besonders gut darstellen. Nicht dichte Strukturen, wie Luft oder zellfreie Bereiche können durch Aussparungen auch gesehen werden (dunkle Areale). Bei der Diagnostik einer Daumensattelgelenksarthrose macht man sich beides zu nutze.
Der Daumen wird im Ganzen und gelenksnahe geröntgt.
Bei einer Daumensattelgelenksarthrose sieht man folgende Vernderungen im Röntgenbild:
Ein MRT ist immer dann notwendig, wenn ein Röntgenbild eine Daumensattelgelenksarthrose nicht bestätigen konnte und der Patient weiterhin Schmerzen im Bereich des Daumens oder im Bereich zwischen Daumen und Zeigefinger angibt.
Das MRT stellt Weichteilgewebe wie folgende Gewebe besoners gut da:
Hier können Verletzungen und Entzündungen in diesem Bereich als mögliche Ursache der Schmerzen im Daumen herausgefiltert werden.
Nach Diagnose einer Daumensattelgelenksarthose sollte das Gelenk zunächst geschont bzw. ruhiggestellt werden. Dies gelingt mit einer sogenannten Handorthese, die das Gelenk des Daumens ruhigstellt. Die Glieder des Daumens können aber weiterhin eingesetzt werden. Die Orthese sollte den ganzen Tag und das mindestens 1-2 Wochen getragen werden.
Weiterhin kann es notwendig werden, entzündungshemmende Schmerzmittel einzunehmen. Sollte es keine Allergien oder Unverträglichkeiten bestehen, werden in der Regel Ibuprofen 400-600 mg 1-3 mal täglich oder auch Diclofenac 50-75 mg 1-3 mal täglich für ca. 3-5 Tage verordnet. Eine Dauerlösung stellt eine Tabletteneinnahme allerdings nicht dar.
In einigen Fällen kann es notwendig werden, dass eine Operation durchgeführt werden muss. Diese kommt dann zum Einsatz, wenn die Erstmaßnahmen keine Besserung bringen, oder aber wenn es zwar zu einer Besserung gekommen ist, aber immer wieder zu Beschwerden auftreten, vor allem bei Voranschreiten der Arthrose.
Unsere Experten von Lumedis versuchen stets mit konservativen Therapiemaßnahmen den größtmöglichen Erfolg zu erzielen. Sie erarbeiten in ihrer Sprechstunde gemeinsam mit Ihnen ein individuell auf Sie angepasstes Behandlungskonzept.
Hyaluronsäure ist auch ein als Gelenkschmiere bezeichneter Stoff. Er führt dazu, dass Bewegungen in Gelenken möglichst reibungslos durchgeführt werden können. Zudem versorgt sie den schützenden Knorpel des Gelenks und schützt Sie somit die Gelenkflächen.
Bei einer Arthrose des Daumensattelgelenks kommt es auch zu einer Abnahme der Hyaluronsäre, was dann zusätzlich zu einem ungeschützten Aufeinanderreiben der Knochen führt.
In den letzten Jahren hat man mehr und mehr die Injektion mit Hyaluronsäure als mögliche Arthrosenbehandlung entdeckt.
Man injiziert Hyaluronsäure in das betroffene Gelenk. Die Injektion sollte 3-5 mal in wöchentlichen Abständen erfolgen.
Es gibt auch zahlreiche Präparate, die Hyaluron dem Körper oral zuführen. Einen durchschlagenden Wirkerfolg konnte bei dieser Darreichungsform bisher nicht erzielt werden.
Lumedis hat umfangreiche Erfahrung in der Behandlung des Daumensattelgelenks mit Hyaluron.
Leider ist der Behandlungserfolg mit Hyaluron einer Behandlung mit Hyaluron am Knie unterlegen.
Kortison wirkt entzündungshemmend und kann, wenn es in das arthrotische Daumensattelgelenk injiziert wird, zu einem deutlichen Rückgang der Entzündung und auch Abschwellung führen.
Die Patienten berichten von einer zeitnahen, deutlichen Verbesserung der Beschwerden.
Bei Wiederauftreten der Beschwerden kann die Injektion von Kortison ins Gelenk nochmal wiederholt werden.
Eine Kortisonspritze ins Daumensattelgelenk sollte nur in stark entzündeten Ausnahmefällen von einem erfahrenen Orthopäden angewendet werden.
Ein Kinesiotape ist ein selbstklebender Verband, der um das Gelenk des Daumens (Daumeneintritt in die Hand) angelegt werden kann.
Der Patient sollte den entlastenden Druck des Tapes spüren, aber es sollten keine Einschnürungen auftreten.
Das Tape entlastet nicht nur die Muskeln, die um das Daumensattelgelenk vorhanden sind, sondern stellt auch das Gelenk an sich ruhig.
Das Tape sollte den Tag über für 1-2 Wochen getragen werden.
Bei einer Bandage wird meistens eine Zugbinde genommen, die um das Daumengelenk am Eintritt in die Hand mehrmals umschlagen und mit einem leichten Zug fixiert wird. Ähnlich, wie bei einem Tape komprimiert die Zugbinde das Gelenk, stellt es ruhig und entlastet die Muskeln.
Auch sollte ein tägliches Tragen über mehrere Wochen erfolgen, und der Erfolg abgewartet werden.
Eine Kortisonspritze sollte immer gut abgewoben werden, da man hierdurch nicht heilen kann, bei richtiger Indikation den Verlauf der Daumenarthrose positiv beeinflussen kann.
Weitere Informationen haben wir Ihnen unter unseren Artikel
zusammengefasst.
Eine Operation ist immer dann notwendig, wenn die Beschwerden mit den konservativen Maßnahmen nicht verschwinden, oder wenn es nach anfänglicher Besserung zu einer Rückkehr der Beschwerden kommt. Auch bei Voranschreiten der Arthrose sollte eine Operation in Erwägung gezogen werden.
Bei vorangeschrittener Arthrose im Daumensattelgelenk kommt zusätzlich eine so deutliche Bewegungsbeeinträchtigung im Gelenk zum Tragen, dass eine Operation oftmals die einzige Behandlungsmöglichkeit darstellt.
Zwar existiert keine spezielle Arthrosediät, allerdings sollte bei der Ernährung auf einige Punkte geachtet werden, um das Risiko eines Auftreten einer Daumensattelgelenksarthrose zu reduzieren. Es sollte wenig Fleisch und mehr Obst und Gemüse gegessen werden. Fleisch erhöht die gelenksbelastende Harnsäure, diese kann ausflocken und Kristalle in den Gelenken bilden.
Fisch hingegen bildet entzündungshemmende Substanzen. Aus diesem Grund sollte bei einer vorhandenen Arthrose im Daumensattelgelenk eher auf Fleisch verzichtet und 2-3 mal wöchentlicher Fischkonsum bevorzugt werden.
Calcium fördert die Kräftigung des Knochens. Milch ist besonders reich an Calcium. Auf regelmäßigen Verzehr sollte geachtet werden.
Wir freuen uns, wenn Sie uns mit Bildmaterial unterstützen würden, was wir anonym auf Lumedis veröffentlichen dürfen.
Bitte räumen Sie uns in der Mail ein Nutzungsrecht ein, das Sie jederzeit wieder zurückziehen können.
Von Röntgenbildern / MRT´s / CT´s - wenn möglich die Originalbilder in großer Auflösung (bitte keine Bildschirmfotografien) schicken.
Damit helfen Sie anderen Ihre Erkrankung besser zu verstehen und einzuschätzen.
Bild bitte an info@lumedis.de.
Danke und viele Grüße
Ihr
Nicolas Gumpert
Wir beraten Sie gerne in unserer Handsprechstunde!