PD Dr. Elke Maurer
Amelie Grainger
Dr. Franziska Zwecker
Dr. Jannik Ashauer
Dr. Bela Braag
Axel Lust
Dr. Nicolas Gumpert
Privatpraxis
für Orthopädie, Sportmedizin, ärztliche Osteopathie, Akupunktur und manuelle Medizin
direkt am Kaiserplatz
Kaiserstraße 14/Eingang Kirchnerstraße 2
60311 Frankfurt am Main

Schmerzen an den Handwurzelknochen sind nicht zu unterschätzen und können sehr langwierig und belastend sein.
Im Falle einer Scapholunäre Dissoziation kann beispielsweise eine fehlende Behandlung im Spätstadium zu einer Arthrose führen.
Zudem handelt es sich bei diesem Krankheitsbild um die häufigste isolierte Bandverletzung der Hand. Diese nimmt unter den unfallbedingten Erkrankungen der Handwurzel Platz zwei nach der Kahnbeinfraktur ein.
Daher ist die Betreuung durch einen guten und erfahrenen Orthopäden sehr wichtig. Wir von Lumedis haben uns auf die konservative Behandlung der Erkrankungen und Verletzungen der Hand ohne Operation spezialisiert.
Wenn Sie eine Beratung durch unsere Handspezialisten wünschen, kommen Sie hier zu Ihrem Termin.

Dieser Artikel wurde zuletzt durch Dr. Franziska Zwecker zuletzt überarbeitet.
Sie ist eine ausgewiesene Handspezialistin.
Dr. Franziska Zwecker ist eine Fachärztin für Orthopädie und hat sich auf die nichtoperative (also konservative) Behandlung von Erkrankungen der Hand spezialisiert.
In diesem Bereich behandelt Dr. Zwecker seit vielen Jahren mit ihrer großen Erfahrung.
Gerne berät Sie Frau Dr. Zwecker, was man in Ihrem Fall am "Besten" tun kann.
Der medizinische Begriff „scapholunäre Dissoziation“ (SL Dissoziation) bezeichnet das Auseinandergleiten zweier Handwurzelknochen, des Osscaphoideum (im Folgenden Kahnbein genannt) und des Os lunatum (Mondbein).
Diese beiden Knochen sind über einen Bandapparat miteinander verbunden. Die wichtigsten Bänder hierbei sind das Lig. scapholunare und dasLig. lunotriquetrale (je nachdem, welche Knochen für sie Namensgeber sind).
Zu einem Auseinanderleiten der Knochen kommt es dann, wenn diese Bänder überdehnt oder beschädigt sind und daraus resultiert in diesem Bereich der Hand eine Instabilität, die in mehrere Schweregrade unterteilt werden kann.

MRT eines Handgelenk mit Handwurzel mit Bandverletzung
Nahezu alle scapholunäre Dissoziationen sind unfallbedingt. Das Verletzungsmuster ist vielfältig. Einige Beispiele sind:

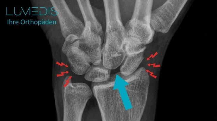
Röntgenbild einer scapholunäre Dissoziation (SLD)
Der türkise Pfeil zeigt auf die zu weit auseinander stehenden Handwurzelknochen von Kahnbein und Mondbein.
Nicht selten tritt die scapholunäre Dissoziation ohne Schmerzen oder Schwellung auf, weshalb für eine Diagnose der Gang zum Arzt häufig sehr spät erfolgt. Daher ist es ratsam, den zeitlichen Zusammenhang mit einem stattgefundenen Trauma zu berücksichtigen.
Wenn jedoch Schmerzen auftreten, sind diese dumpf und in Ruhe zuweilen nicht vorhanden, während es durch Belastung und Druck auf die daumenseitige Handwurzel auslösbar ist.
Außerdem zeigen sich äußere Veränderungen wie Hämatome (blaue Flecken) und Schwellung, welche bei einer Teilruptur oder Überdehnung oft dezent sichtbar sind. Bei einer völligen Bandruptur können diese sich stärker äußern.
Nicht beeinträchtigt sind, im Falle einer scapholunäre Dissoziation, die Handgelenkfunktionen, Gefühlsempfinden und die Durchblutung. Jedoch kann die Motorik (Bewegung) des Handgelenks vor allem in der Streckung (Extension) schmerzbedingt eingeschränkt sein.
Sie leiden unter wiederkehrenden Schmerzen in der Handwurzel, sind unzufrieden mit dem Behandlungsfortschritt, möchten eine zweite Meinung oder es ist gar eine Chronifizierung entstanden?
Dann übernimmt die Frankfurter Orthopädin Dr. Franziska Zwecker gerne Ihren Fall gerne!
Dr. Zwecker hat sich auf die konservative Behandlung der Erkrankungen der Hand spezialisiert und hilft Ihnen gerne mit Ihren Erfahrungsberichten weiter.
Lumedis Privatpraxis
für Orthopädie, Sportmedizin, ärztliche Osteopathie, Akupunktur und manuelle Medizin
direkt am Kaiserplatz
Kaiserstraße 14/Eingang Kirchnerstraße 2
60311 Frankfurt am Main
In Ruhe werden häufig keine Schmerzen wahrgenommen. Diese können sich jedoch bei Belastung oder beim Arzt während einer körperlichen Untersuchung mittels eines starken Druckschmerzes bemerkbar machen und das über dem „radioproximalen“ Handwurzelbereich – das heißt daumenseitig oder auf der Seite des Speichenknochens, direkt über den Knochen Kahnbein und Mondbein.
Dieser Schmerz kann sich sehr stark äußern. Daher wird oft davon abgesehen, den Druckschmerz ohne Schmerzmedikation zu provozieren. Dadurch kann der Untersucher auch nach dem Drucktest die Instabilität der Handwurzelknochen überprüfen.
Außerdem können Schmerzen im Handgelenk nach einem Sturz auch andere Ursachen haben, wie zum Beispiel eine Kahnbeinfraktur, und sollten daher früh ärztlich abgeklärt werden. Dazu ist es sehr wichtig, eine schmerzende Handwurzel nicht wie üblich weiter zu belasten und unbedingt zu schonen.
Alternative Ursachen finden Ihre Schmerzen finden Sie auch in unserem Artikel "Schmerzen im Handgelenk".

Farbliche Anatomie der Handwurzel
Wie bereits erwähnt, findet die Diagnose per Zufall statt und wird oft übersehen.
Um ein Übersehen zu verhindern, erfolgt die Diagnose wie bei vielen anderen Krankheitsbildern mittels Anamnese und der diagnostischen körperlichen Untersuchung.
Hier wird das Unfallgeschehen erfragt, die Handwurzelknochen gründlich inspiziert und schließlich das Handgelenk mit abgetastet.
Bei einer scapholunären Dissoziation kann hier ein Druckschmerz festgestellt werden. In manchen Fällen sind auch durch Knorpelreibungen Klickgeräusche hörbar.
Bei einem Bandriss ersten Grades ist die Instabilität zwischen den beiden Knochen nicht tastbar.
Bei Grad zwei ist die Instabilität nur teilweise nachweisbar.
Bereits in diesem Schweregrad kann die Untersuchung als sehr schmerzhaft empfunden werden. Hier sollte dann der Verdacht auf eine Kahnbeinfraktur mit gestellt werden.
Auch um dies auszuschließen, werden dann weitere verfügbare bildgebende Diagnostikverfahren wie Ultraschall und Röntgen und ggf. ein MRT-Bild der Handwurzel zurate gezogen.
Bei letzteren beiden kann der Abstand zwischen den Knochen annäherungsweise bestimmt werden.
Eine weitere diagnostische Maßnahme kann eine invasive, die Arthroskopie, liefern, bei der im Rahmen eines kleinen Eingriffs mit einer Kamera in den Gelenkspalt geschaut werden kann.
Hier kann dann bei Bedarf gegebenenfalls ebenfalls therapiert und interveniert werden.
Der Ultraschall ist ein nicht-invasives bildgebendes Verfahren, das schmerzlos, schnell und in der Regel fast in allen medizinischen Praxen verfügbar ist.
Es eignet sich dafür, um weiche Körperstrukturen darzustellen, vor allen die Gelenkkapseln, Bänder und Muskeln, aber auch Nerven und Blutgefäße.
Für eine scapholunäre Dissoziation kann eine klaffende Lücke in der Bildgebung sprechen oder es zeigt sich direkt ein Bänderriss im Bild. Allerdings ist letzteres davon abhängig, ob man einen speziell für die Hand geeigneten Ultraschallkopf nutzt und wie erfahren der Untersucher ist.
Auch Brüche, wie der Kahnbeinbruch, können bei eindeutigem Befund hier schon entdeckt werden.
Bei einem frischen Trauma mit eindeutiger Schwellung können bestimmte anatomische Strukturen durch Flüssigkeitsüberlagerungen unkenntlich sein.
Das Röntgenbild wird genutzt, um knöcherne Strukturen des Körpers darzustellen.
Bei einem echten Bänderriss kann zwischen den Knochen ein klaffender Gelenkspalt abgebildet sein, das größer als 2 mm ist.
In diesem Fall spricht man dann von einer Dissoziation dritten Grades.
Eine Überdehnung (Grad 1) hingegen ist praktisch im Röntgen nicht zu sehen.
Außerdem können neben dem Knochenabstand auch Begleitverletzungen wie Brüche anderer Knochen dargestellt und befunden werden.
Die häufigste mit der scapholunären Dissoziation verbundene Verletzung ist die Fraktur des Kahnbeins.
Hier können neben „großen“ Frakturen auch Mikrofrakturen im Röntgen auftauchen. Bänder und Sehnen sind hingegen im Röntgen hier nicht gut sichtbar.

Röntgen einer SLD (scapholunären Dissoziation) linkes Handgelenk
Besteht während der diagnostischen Maßnahmen und der körperlichen Untersuchung der Verdacht auf eine Dissoziation ersten oder zweiten Grades, dann besteht eine Indikation für ein MRT, auch, wenn im Röntgen kein großer Knochenspalt als Befund zusehen war.
Damit können schwerwiegende Folgen wie chronische Schmerzen oder Arthrose für den Betroffenen durch eine scapholunäre Dissoziation vermieden werden und sichergestellt werden, dass eine Dissoziation nicht übersehen wird.

MRT einer Verletzung der Handwurzel (scapholunäre Dissoziation)
Die Geissler-Klassifikation wird für die arthroskopische Einteilung der skapholunären Dissoziation verwendet:
Die Behandlung richtet sich nach dem Schweregrad der Dissoziation.
Schweregrad 1
Bei einer Überdehnung der betroffenen Bänder erfolgt meist eine erhaltende (konservative) Therapie, das heißt mittels Ruhigstellung für circa sechs Wochen durch einen Gipsverband.
Schweregrad 2 oder 3
In diesen Fällen besteht eine Indikation für eine Operation, da die Bänder gerissen sind und daher entweder genäht oder ersetzt werden müssen.
Im Falle eines Ersatzes kann als Ersatzmaterial eine körpereigene Sehne an der Stelle verwendet werden.
Damit werden die Knochen wieder in ihre ursprüngliche Position gebracht und eine Fehlbelastung der Hand kann dadurch verhindert werden.
Außerdem wird bei anhaltenden Beschwerden und Funktionseinschränkungen als letztes Mittel der Wahl („ultima ratio“) eine Gelenkversteifung vorgenommen (Arthrodese).
Hierfür werden entweder die beiden Handwurzelknochen miteinander versteift oder sogar das gesamte Handgelenk mitsamt von Elle und Radius.
Zur Ruhigstellung des Handgelenks eignet sich eine Gipsschiene oder eine stabile Orthese.
Mittlerweile sind jedoch viele Orthesen (Schienen) so konzipiert, dass sie ebenfalls fest und stabil sind, dass sie klassische Gipsschienen ersetzen können.
Sie haben den Vorteil, dass sie bei Bedarf, z.B. beim täglichen Waschen, abgenommen werden können (allerdings wird das Handgelenk dadurch auch wieder beansprucht).
Ob und welche Schiene bei einer SL-Band-Dissoziation indiziert ist, entscheidet der behandelnde Orthopäde. Auf Rezept sind diese dann in Sanitätshäusern erhältlich, seltener auch in Apotheken.
Im Prinzip ist das Taping eine Methode zur Stabilisierung der Handwurzel, sollte jedoch nur bei leichten Beschwerden und mäßigen Bandüberdehnungen angewendet werden.
Hierbei ist es wichtig, das korrekte Taping einmalig vom Arzt oder Physiotherapeuten gezeigt zu bekommen.
Vor allem sollte beachtet werden, dass die Blutversorgung nicht abgeschnürt wird oder dass auf offene Hautstellen getaped wird.
Auch soll bedenkt werden, dass für Menschen mit Latexallergien Tapes meistens nicht geeignet sind.
Eine Operation ist ab dem Schweregrad zwei indiziert, denn in diesem Fall ist die Verschiebung der Knochen zu einer deutlichen Instabilität, Fehlstellung und Schäden an Knorpel und anderen Knochen gekommen.
Bei Grad 3 ist die Indikation deutlicher gegeben, da hier der Bandapparat komplett gerissen ist und eine klaffende Lücke in der Bildgebung feststellbar ist.
Hierbei sind mehrere Operationstechniken möglich. Dazu zählen auch schonende Maßnahmen (minimalinvasiv) wie die Gelenkspiegelung (Arthroskopie).
Die Heilungsdauer hängt von vielen Faktoren ab. Zum Beispiel führt eine schnelle Diagnose und anschließende Therapie zu einer kürzeren Heilungsdauer. Aber auch die Therapieform und der Schweregrad spielen eine wesentliche Rolle.
So muss bei einem festgestellten Schweregrad eins muss eine Ruhigstellung im Gips für 6 Wochen erfolgen, gegebenenfalls gefolgt von krankengymnastischen Übungen, sodass spätestens nach 12 Wochen die Hand wieder voll belastbar sein sollte.
Bei Verdacht auf ein erneutes Auseinanderdriften sollte ein neues Röntgen oder MRT-Bild durchgeführt werden.
Bei den Schweregraden zwei und drei muss ggf. operiert werden, danach folgt ebenfalls eine mehrwöchige Ruhigstellung im Gips.
Es ist jedoch wichtig zu beachten, dass auch bei optimaler Therapie eine Arthrose im Handgelenk häufiger auftritt und daher ein Restrisiko besteht.
Die Dauer der Krankschreibung richtet sich nach der angeordneten Phase der Ruhigstellung.
Daher ist es beim Ausstellen der Krankschreibung wichtig, vom Arzt den beruflichen oder Ausbildungs-Hintergrund des Patienten genau zu erfragen, um eine individuelle Schonungsdauer festzulegen.
Dementsprechend brauchen Patienten, die nicht mit beiden Händen arbeiten müssen, keine bis kurze krankheitsbedingteArbeitsausfälle und können relativ schnell der gewohnten beruflichen Tätigkeit nachgehen.
Es ist aber wichtig, das betroffene Handgelenk zu entlasten, um das Risiko einer Arthrose zu minimieren.
Daher ist eine Krankschreibungsdauer von 6 bis 12 Wochen nicht ungewöhnlich. Gleiches gilt für den Zeitraum nach einer Operation.
Wir freuen uns, wenn Sie uns mit Bildmaterial unterstützen würden, was wir anonym auf Lumedis veröffentlichen dürfen.
Bitte räumen Sie uns in der Mail ein Nutzungsrecht ein, das Sie jederzeit wieder zurückziehen können.
Von Röntgenbildern / MRT´s / CT´s - wenn möglich die Originalbilder in großer Auflösung (bitte keine Bildschirmfotografien) schicken.
Damit helfen Sie anderen Ihre Erkrankung besser zu verstehen und einzuschätzen.
Bild bitte an info@lumedis.de.
Danke und viele Grüße
Ihr
Nicolas Gumpert
Wir beraten Sie gerne in unserer Handsprechstunde!